

口腔外科は、歯以外の口の中の病気や、全身と関わりのあるお口の病気を診るところです。以下のような症状の方を対象に治療しています。どこで診てもらえばよいかわからずお困りの時にはご相談下さい。当院では下記の治療に対応しています。
※ 全身疾患のある方・抜歯の危険性の高い場合は、全身管理が可能な専門病院を紹介させて頂く場合があります。
親知らずの抜歯には、簡単なケースから難しいケースまであります。
簡単なケースであれば、どの医院で行っても大きな差はないかと思いますが、難しい症例は、治療する歯科医院を選ばれた方がよいかと思います。
難しいケースとは、外科処置が必要だったり、神経や血管が親知らずの近くにあるケースです。しっかりと診査診断した上で治療に臨む必要があります。
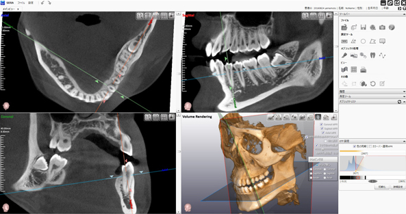
当院で行う親知らずの抜歯の特徴は「CT分析」があげられます。

一般的に歯科医院にあるレントゲンは「二次元」です。
当院には二次元よりも詳細に分析できる「三次元」のCT装置を導入しています。
三次元撮影装置(CT)を利用すると、二次元のレントゲンでは確認することができなかった部分まで事前に確認することができるようになります。
歯科医療において「見える」「見えない」は治療のクオリティに大きな差を生みます。
ましてや、外科処置が必要な場合や、近くに血管・神経が通っている場合はなおさらです。
抜歯を検討される場合は、CT装置を導入している医院で受診されることをお勧めします。
顎関節症は「生活習慣」・「ストレス」・「姿勢の悪さ」など様々な要因が考えられますが一般的に原因には多因子が絡んでおり原因を一つに絞るのが困難といわれています。
顎関節症を治すには、まず思い当たる部分から解決していく必要があります。
当院では、患者様が抱えていらっしゃるお口のお悩みや疑問・不安などにお応えする機会を設けております。どんな事でも構いませんので、私達にお話しして頂けたらと思います。
ご興味がある方は下記からお問い合わせください。
